Japanese doctors have performed what doctors say is the world's first lung transplant from living donors to a recovered coronavirus patient after operating on a Japanese woman whose lungs were severely damaged by Covid-19.
According to Kyoto University Hospital in Japan, the woman underwent an 11-hour operation by a 30-strong medical team on Wednesday, April 7, to transplant lung tissue from her husband and son.
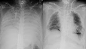
Covid-19 which can cause severe lung damage in some patients, has made some patients who recovered from the disease receive lung transplants as part of their recovery from the disease.
But the Kyoto hospital said this case was the first in which lung tissue had been transplanted from living donors to a Covid-19 patient.
Dr. Hiroshi Date, who led the operation, said it gave hope to patients suffering from severe lung damage from Covid-19.
"We demonstrated that we now have an option of lung transplants (from living donors)," he said at a Thursday news conference.
The patient, identified only as a woman from Japan's western region of Kansai, contracted Covid-19 late in 2020, and spent months on a life support machine that worked as an artificial lung, according to Kyoto University Hospital.
Covid-19 caused so much damage to her lungs they were no longer functional, meaning she required a lung transplant to live.
The woman's husband and son then offered to donate parts of their lungs.
Transplants from brain-dead donors are rare in Japan, and live donors are considered a better option, according to the hospital's statement.
The husband and son are in a stable condition and the woman remains in intensive care. She's expected to be able to leave the hospital in about two months, according to the hospital.


0 Comments